前歯のインプラント治療①
主訴
右上の歯が割れてしまい当院に来院されました。
治療説明
治療方法はブリッジ(両隣の歯を削って3本連続の被せ物にする治療)とインプラント治療の2つがあり、メリット、デメリットを提示したところ両隣の歯を削りたく無いとの事でインプラント治療を行いました。
治療費
40万・TAX(内訳オペ代5万円・インプラント本体15万・ソケットリフト5万・アバットメント5万・被せ物(メタル・セラミック)10万)
治療期間
9ヶ月
治療経過
抜歯後骨の治癒を6ヶ月待ち、インプラント埋入とソケットリフト(上顎の臼歯部では上顎洞という空洞が近く骨の量が足らない場合、粘膜を持ち上げ骨を造るオペ)を行い、その後仮歯を作成し、問題がなかった為3ヶ月後最終補綴物をセットしました。
歯を削ると一番外側の層であるエナメル質を削ることになります。このエナメル質は虫歯になりにくい為、この層を守ることは歯の寿命を削る事になります。
この様に両側の歯が削られていない場合はインプラントが第一選択になると考えております。実際患者さんも、治療期間はかかりましたが、結果として見た目や噛み応えに関して満足していました。今後メンテナンスで長期にわたって維持していく予定です。
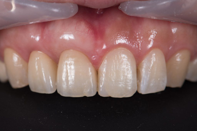
治療前

治療後

インプラント埋入時

アバットメント装着時

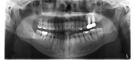
治療前:レントゲン

埋入後:レントゲン

前歯のインプラント治療②
主訴
左下奥歯に歯がないのを相談したい。
治療説明
歯が欠損していると、その他の歯の移動がおこり噛み合わせが変化する事により、様々な問題が生じる為入れ歯かインプラントを説明し、年齢も若く見た目の問題からインプラントを選択されました。
治療費
65万・TAX(内訳オペ代5万円・インプラント本体15万×2・アバットメント5万×2・被せ物(セラミック)10万×2)
治療期間
3ヶ月
治療経過
CTを撮影し、インプラントを埋入しました。インプラントの周囲の骨の状況は良かったのですが、インプラントとしっかり骨がくっつく3ヶ月待ち最終的な被せ物を装着しました。
治療前

治療後

治療前

治療後

前歯のインプラント治療③
主訴
左下の奥歯が痛い。
治療説明
レントゲンを撮影し、歯周病等の検査を行うと、左下の奥歯が割れており抜歯が必要と診断しました。左上との噛み合わせを考えると左下に歯が必要だと説明しました。 患者さんはインプラント治療を希望されたので、抜歯後3ヶ月(抜歯前の状態が良くなかった為、骨の再生に時間がかかりました)待ちインプラントを行いました。
治療費
40万・TAX(内訳オペ代5万円・インプラント本体15万・ソケットリフト5万・アバットメント5万・被せ物(セラミッククラウン)10万)
治療期間
8ヶ月
治療経過
インプラントを計画していた為、抜歯したところにはソケットリフト(抜歯時に骨が痩せないように人工の骨を置きその上に膜などで被覆する処置)を行いました。 その後インプラントを埋入し、仮歯を作製し、問題がないことを確認しセラミックの被せ物をセットしました。患者さんは噛み心地も問題はなく、満足されました。
治療前

治療後

治療前:レントゲン

治療後:レントゲン

左下:レントゲン

歯根破折

前歯セラミック+インプラント治療①
主訴
前歯が腫れる。見た目も改善したい。
治療説明
実際に患者様の症状をレントゲンで確認をすると、右上の前歯には根の部分に問題があり、抜歯をする必要がありました。 患者様と治療について再度カウンセリングを行ったところ、前歯は見た目をキレイにするために審美性の高いオールセラミッククラウンを入れ、抜歯をする部分はインプラント治療することを希望されました。
治療費
99万+TAX(オペ代5万被せ物13万アバットメント7万インプラント本体15万ノーベルガイド15万GBR5万その他の被せ物13万×3)
治療期間
1年
治療経過
治療では前歯を抜歯し、抜いた部分が凹むため人工骨を用いて再生医療法を行い、インプラントを埋入しました。この際、インプラントを正確な位置に入れるためにノーベルガイド(CTでシミュレーションを行った通りにインプラントを入れることの出来る器具)を用いました。 そのため手術時間も短く正確な位置に入れることに成功し、見た目もきれいに回復しました。 実際、患者様は前歯の抜歯には不安を感じたようでしたが、骨を作り、正しい位置にインプラントを埋入し、仕上がりのきれいなオールセラミッククラウンを被せた事により、元の状態よりも回復し、メンテナンスにもしっかりと通って頂いております。 患者様もより一層、歯を大切にされるようになりました。
-
治療前

-
治療中

-
治療後

治療前

治療後

インプラント計画時

インプラント埋入時

初診時
歯の根が溶けていて、右上の前歯の歯が残せない状態です。 前歯の審美的な不良も認めます。


治療途中
抜歯後、周りの歯茎が痩せ、骨も減っています。精密検査のためCT撮影を行いインプラントの治療計画を行います。

治療終了後
歯の根が溶けていて、右上の前歯の歯が残せない状態です。 前歯の審美的な不良も認めます。


前歯審美インプラント治療
主訴
前歯を転んで折ってしまった。
治療説明
右上の1番目は転んだ衝撃で歯が抜けていて、2番目は根が折れているので残せない為、ブリッジかインプラントの説明をしました。ブリッジになると健康な歯まで削らなければいけないので、患者さんはインプラントを希望されたので、歯肉移植(前歯のインプラント治療においては見た目(審美性)がとても大切になる為)とインプラント治療を提案しました。
治療費
103万+TAX(オペ代5万、セラミッククラウン15万×2、アバットメント7万×2、インプラント本体15万×2、仮歯2万×2、GBR5万×2、歯肉移植5万×2)
治療期間
半年
治療経過
インプラントと歯肉移植を同時に行い、半年後インプラントと骨がしっかり結合した後、最終的な被せ物をセラミックで被せました。審美的な仕上がりに患者さんも喜んでいました。治療後1年経過後も歯茎が安定しております。
治療前

治療後

治療前レントゲン

治療後レントゲン

多数歯インプラント治療
主訴
全体的に虫歯が進行しており、噛めないので治して欲しいと来院。
治療説明
多数の抜歯が必要で、部分入れ歯や総入れ歯もしくは多数のインプラントでかみ合わせを改善する必要があることを説明。 費用は多少かかってもいいとの事で、入れ歯と比較し、違和感も少なく、しっかり噛めるインプラントを選択されました。 また、かみ合わせを整えるうえで矯正治療も必要なことを説明。
治療費
約390万
治療期間
約1年半
治療経過
治療開始前
まずは治療経過をたてて、今後の方針について患者さんと話し合います。上の写真のような治療の最終の状態と予測した模型を作製し、治療計画や治療経過の確認に役立てます。
治療途中
治療開始前の治療計画のもと、歯ないところにはインプラントを埋入し、噛めるように回復しました。 またなるべくご自身の歯で噛める様に矯正治療も位置の改善も行いました。矯正治療も院長が行っております。
治療終了時
しっかり噛め、見た目も改善しました。この様な治療を行うことにより、長期的に長くしっかり噛める様になります。また、歯を治すことによって、顔の表情もかなり変化し若返って見えます。治療期間は2年半とかかりましたが、患者さんは大変満足されていました。
初診時
全体的に虫歯が進行しており、噛めないので治して欲しいと来院。


治療開始前

治療途中

治療終了時

骨再生+インプラント治療
主訴
左上に歯を入れたい。
治療説明
左上はCTで確認すると3mmしか骨がないので、サイナスリフトと同時にインプラント埋入が必要と説明。サイナスリフトは外側から上顎洞粘膜(サイナス)を持ち上げ、人工骨を入れることで骨の再生をする術式と説明。
治療費
82万+TAX(オペ代5万、セラミッククラウン7万×2、アバットメント7万×2、インプラント本体15万×2、仮歯2万×2、サイナスリフト15万)
治療期間
4ヶ月
治療経過
術後レントゲンで確認するとインプラント周囲にしっかりとした骨ができ安定していることを確認。セラミックの被せ物をセットして終了。
-
術前レントゲン

-
術後レントゲン

-
CT

インプラント入れ歯
主訴
全て治したい。
治療説明
上の歯は全ての歯が歯周病と虫歯なので、残せないことを説明。入れ歯とインプラントによる治療を説明。患者さんは見た目やしっかり噛めるインプラントを選択されました。インプラントを7本いれその上はジルコニアにセラミックを盛り上げた見た目もよく、汚れもつきにくい、長期で安定した補綴物を選択されました。下の歯は残せたので、セラミックによるブリッジで治療しました。
治療費
438万+TAX(上顎インプラント7本+下顎ジルコニアクラウン8本)
治療期間
2年
治療経過
オペは麻酔科の先生に来ていただき処置をしたので、眠っていた間に処置ができて楽だったと安心してました。患者さんは見た目も気に入っていただき、食事もしっかり取れる様になったと喜んでいました。現在2年経過していますが、特に問題なく維持しています。
治療前

治療後

治療前レントゲン

治療後レントゲン

All-on4(6)
Before
After
主訴
他院でつけたブリッジが取れた。
治療説明
上の入れ歯は安定がなく、噛みにくいとの事で上顎には3本のインプラントを入れて安定させる様にして、右下は奥歯がないので、1本インプラントをいれてかみ合わせを少し高くして調整することを説明しました。
治療費
442万+TAX(内訳オペ代5万・AllOn4代300万・インプラント本体16万・アバットメント5万・
被せ物(オールセラミック)11万・静脈内鎮静法10万・矯正95万)
治療期間
3年弱
治療経過
食べられるものが増え、見た目も良くなり満足して頂けた様子です。静脈内鎮静(全身麻酔)を行っているため安心して治療に挑めたと思います。メンテナンスもしっかり通院頂いております。
インプラント治療のリスクと副作用
外科的侵襲を伴い、術後の痛みや腫脹がある
必要であれば、静脈内鎮静を行い、寝ている状態でインプラント治療を行います。術後には抗生物質と痛み止めをお渡ししております。
患者様の口腔内や全身状態によってはインプラント治療に注意が必要です
歯周病をコントロール出来ていない(口腔清掃状態が悪い)、糖尿病、喫煙をしている方はインプラント治療において、傷の治癒が遅い、長期的に見てインプラントが安定しにくい等のリスクがあります。但し、口腔状態や全身状態の改善や維持が出来れば、インプラント治療は可能ですので、ご相談ください。
上顎の場合は上顎洞炎、下顎臼歯部では神経損傷のリスクがあります
当院ではCTでしっかり確認してインプラントの長さの洗濯やリスクを回避するための治療を行っていますので、まだ、1症例もありません。
術後に食事制限をしていただくことがあります
傷口が開いたりしない様、インプラントがしっかり骨と定着する為に、硬い物等を控えていただく事があります。


















